
How to Treat Gum Disease at an Affordable Price?
At present, gum disease doesn't have to be only caused to older people or those not taking proper care of oral hygine. But, the fact is that gum infection is common in kids and the people of a young generation because of improper diet and the consumption of acidic drinks or alcohol before their age, and that too in excess amounts.
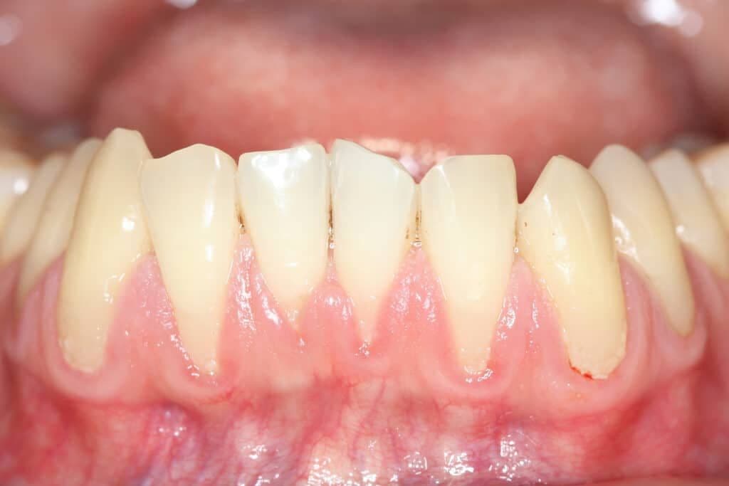
Gum disease is a gum infection that erupts in the gums and can damage the pulp inside the tooth and generate effective or severe damage. Gum disease can also lead to tooth decay and bone loss. If you are unaware of gum disease, reading this article till the end will be a productive step towards knowledge about gum disease. This article mentions everything you need about gum disease, so read carefully.
Who treats gum disease?
The doctor or dentist treating the gum disease is known as Periodontitis. Gum disease starts with an infection that begins with bacterial growth that can occur due to irregularity of hygine and sanitization. In other words, bacteria are also spread due to unhealthy mouth cleaning and fewer cleaning processes. The gum infection can also cause tooth loss before your age if this is not treated on time from the Peridontitis, and this may also lead to the destruction of the surrounding tooth covered by the gum infection.
What is the cause of gum infection?
There can be multiple causes for gum infection; some of them are:
This can occur due to excessive smoking.
This can also be due to the consumption of tobacco.
Due to the development of the plague.
Undoubtedly, this can also be due to hormonal changes, irrespective of gender.
Consumption of harmful drugs can also be several medicines.
Improper care of the oral hygine.
Lack of nutrition in the body
Poor and unhealthy diet.
This can also be genetic, which elaborates that the person is taking good care of oral hygine, but gum disease is present too.
This can also be due to the suffering of cracked and broken teeth.
How can this disease be treated?
Currently, multiple options are available for the gum recession treatment as there are many technological advancements the science has given the best out in the modern sources. Here are a few gum disease treatment options that can assist in getting the best treatment.
A professional dental cleaning can treat this.
This treats the treatment of flap surgery/ gum recession surgery and pocket reduction.
This can be treated by the process of bone grafting
Some experts and professionals also provide the treatment of bone surgery.
This is also treated through the regeneration of the guided tissue.
Pulp grafting is also a type of treatment that treats the infection.
The treatment of scaling and root planning also treats the therapy.
The patient can also opt for laser gum surgery.
Conclusion :
Gum disease should not be taken in a very light and gentle manner because this can cause various other infections in the mouth. This also provides a reason for tooth loss, which can be dangerous for a longer time. If the disease or the illness is not treated on time, further destruction will lead to more expensive treatment. This explains that it is better to consider a doctor when you see gum disease symptoms without delay.
Article source : https://www.articleentry.com/how-to-treat-gum-disease-at-an-affordable-price/
Appreciate the creator