
Can scaling remove cavities?
Cavities are among the most common dental problems faced by people of all ages. They occur when bacteria in the mouth produce acids that erode tooth enamel, leading to tooth decay. While routine brushing and flossing are essential for oral hygiene, professional dental procedures like scaling are often recommended to maintain healthy teeth and gums. However, there’s a common question that many patients ask: Can scaling remove cavities?
Let’s explore what scaling actually does, and whether it can play a role in eliminating cavities or simply preventing them from worsening.
What is Teeth Scaling?
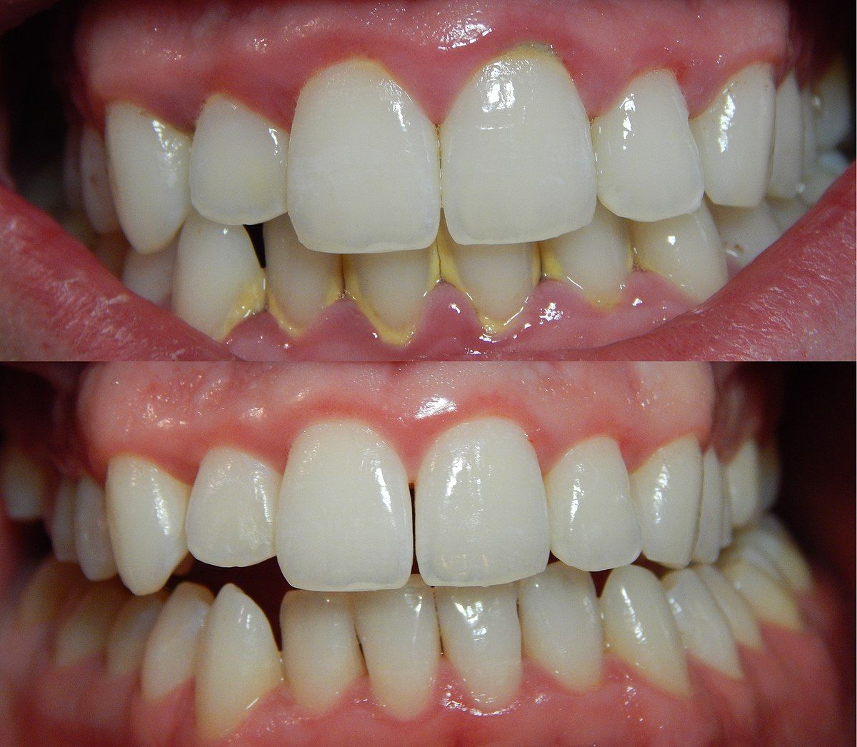
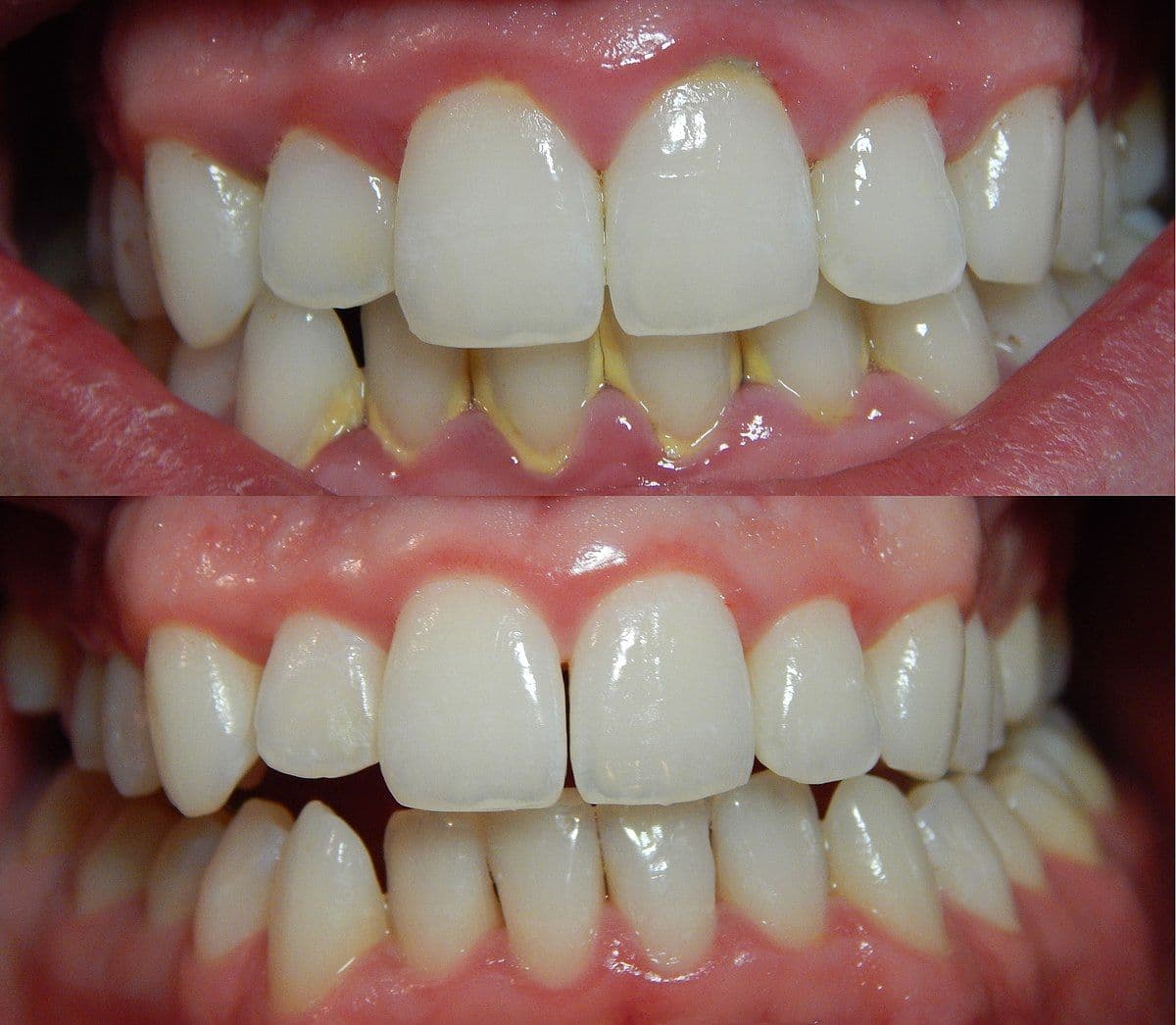
Scaling is a dental procedure performed by professionals to remove plaque and tartar that build up on the teeth and under the gumline. This accumulation, if not addressed, can lead to gum disease and other dental complications. Scaling involves the use of ultrasonic tools or manual instruments to carefully clean each tooth surface, especially the areas that are hard to reach with regular brushing.
Unlike regular cleaning, scaling goes deeper—particularly beneficial for patients who have signs of gum disease or haven't had a cleaning in a while. It is usually followed by a procedure called root planing, which smooths out the roots of the teeth to promote healing and reattachment of the gums.
Does Scaling Remove Cavities?
Here’s the short answer: No, scaling does not remove cavities. Cavities are areas of permanent tooth damage caused by decay, and they require restorative treatments like fillings, crowns, or root canals depending on their severity. Scaling removes plaque and tartar—which are contributors to tooth decay—but it cannot repair the damage already caused.
However, scaling is crucial in preventing cavities. By eliminating the buildup of plaque and tartar, scaling reduces the bacteria responsible for acid production in the mouth. Without this step, plaque continues to weaken the enamel and lead to more cavities over time.
If you’re considering maintaining your dental health, regular cleanings, including professional Teeth Scaling in Islamabad, can be one of the most proactive measures to avoid cavities before they start forming.
When Should You Consider Scaling?
Many dentists recommend scaling every six months, though the frequency may vary depending on your dental health. You may need scaling more often if:
You have visible tartar buildup
You’re experiencing bleeding or inflamed gums
You have a history of periodontal disease
You notice persistent bad breath
If you’re undergoing orthodontic treatment or have difficulty cleaning certain areas of your mouth due to crowded teeth or bridges, scaling becomes even more essential.
How Are Cavities Treated Then?
Since scaling doesn't remove cavities, specific dental treatments are necessary once a cavity has formed. The most common methods include:
Dental Fillings: Used to restore small to moderate cavities.
Crowns: Recommended when decay is extensive and the tooth structure needs reinforcement.
Root Canals: Needed if the cavity has reached the inner pulp of the tooth.
Extractions: In severe cases, the tooth may be beyond repair and must be removed.
Dentists may use X-rays and a clinical examination to determine the best course of action for treating cavities.
Preventive Dental Care: A Smart Approach
Good oral hygiene and preventive care are your first lines of defense against cavities. Along with daily brushing and flossing, professional cleanings and scaling help maintain the overall health of your teeth and gums. This proactive approach can save you from more invasive treatments later on, both in terms of discomfort and cost.
Speaking of cost, many people in Pakistan are now choosing preventive procedures like scaling over reactive treatments, especially as the long-term expense of fillings, crowns, or extractions can be significantly higher.
Conclusion: Focus on Prevention, Not Cure
While teeth scaling is an essential part of maintaining oral health, it cannot remove existing cavities. Instead, its role is preventative, helping to reduce the likelihood of decay and promoting healthier gums. If cavities are already present, professional dental treatments are required to restore your teeth.
To ensure comprehensive dental care, consult with experienced professionals at trusted clinics like the Royal Cosmetic Surgery PK, where your oral health is always a top priority.
Appreciate the creator